Top hledané
Výsledky (0)
Moderní technologie nabízejí mnoho nových příležitostí pro zlepšení plicních funkcí. Většina lidí však stále čelí omezenému přístupu k těmto pomůckám.

Naděje pro pacienty s chronickým onemocněním plic: Jak dýchací vesta může změnit životy

David Kabelka
10. prosince 2024
+ Přidat na Seznam.cz
4 minuty
Bronchiektázie jsou chronické a nevyléčitelné onemocnění plic

Chronická onemocnění plic, jako jsou bronchiektázie, představují vážné zdravotní výzvy, které ztěžují každodenní život pacientů. Ačkoli tato nemoc nevratně poškozuje dýchací cesty, existují inovativní technologie, které mohou výrazně zlepšit kvalitu života. Využití vysokofrekvenční oscilace hrudní stěny, například pomocí vibrační vesty, se ukázalo jako revoluční v odstraňování hlenu a zlepšování plicní funkce. Bohužel, pacienti jako sedmiletá Anička stále bojují o přístup k těmto život měnícím pomůckám, které jsou často nepropláceny pojišťovnami. Pomoc přišla i formou veřejné sbírky od nadačního fondu Naše plíce, která dává naději na lepší dýchání a kvalitnější život.

Anička trpí bronchiektáziemi už od tří let.

Chronická plicní onemocnění představují skupinu dlouhodobých stavů, které ovlivňují dýchací cesty a plicní tkáň, a mohou výrazně zhoršit kvalitu života. Mezi nejčastější patří chronická obstrukční plicní nemoc (CHOPN), astma nebo bronchiektázie. Tato onemocnění mohou postupně vést k nevratnému poškození dýchacích cest a závažnému omezení životních funkcí, proto je prevence a správná péče o dýchací cesty klíčová.

Bronchiektázie

Bronchiektázie jsou závažné chronické onemocnění plic, které nevratně poškozuje dýchací cesty. Rozšířené a zničené bronchy se stávají pastí pro hlen, což vytváří ideální prostředí pro opakované infekce a neustálý zánět. Pacienti často trpí vyčerpávajícím kašlem, dušností a neustálou produkcí hlenu, což snižuje schopnost plic správně fungovat. Pokud se onemocnění neléčí, hrozí vážné komplikace, jako je selhání plic nebo nevratné snížení kvality života. Každý dech se stává bojem, který pacienti musí svádět den za dnem.

Důležité je včas identifikovat ta onemocnění, které jsou spojené s rizikem vzniku bronchiektázií a intenzivně léčit. Nemáme jednu tabletku, kterou bychom dali a ten pacient by ji bral pravidelně a ty bronchiektázie by nevznikly. Je to o tom, aby se ten pacient naučil se svojí nemocí, která je ve většině případů nevyléčitelná, pracovat. To znamená, je to o té každodenní péči o průdušky,

říká MUDr. Václav Koucký, Ph.D. působící na Pediatrické klinice 2. lékařské fakulty Univerzity Karlovy a Fakultní nemocnice v Motole.

Poškození plic vede k hromadění hlenu, opakovaným infekcím a zánětům, které způsobují chronický kašel, produkci hlenu a dušnost. Bronchiektázie se často vyvíjejí po prodělaných infekcích, genetických onemocněních, jako je cystická fibróza, nebo autoimunitních poruchách.

Léčba a moderní technologie

Léčba zahrnuje fyzioterapii na odstranění hlenu (inhalaci), antibiotika pro zvládání infekcí a v těžkých případech chirurgické zákroky.

Jedním z revolučních přístupů v léčbě a prevenci plicních onemocnění je použití moderní technologie, jako je vysokofrekvenční oscilace hrudní stěny za pomocí vibrační vesty. Tato technologie pomáhá pacientům s chronickými respiračními problémy, jako jsou právě bronchiektázie nebo cystická fibróza, efektivně odstraňovat hlen a zlepšovat ventilaci plic. Studie ukazují, že tato terapie vedla k 71% snížení častosti zhoršení zdravotního stavu pacientů s těmito onemocněními. Dále byla zaznamenána o 43 % nižší míra hospitalizací, což znamená méně časté potřeby hospitalizační péče a lepší kontrolu nad nemocí v domácím prostředí.

Otevřít v galerii (2)
Oscilační vesta
Oscilační vestaZdroj: archiv rodiny Aničky, se svolením

Vesta se dá na hrudníček a začne vibrovat, čímž rozvibruje i stěnu těch průdušek a v podstatě odlepuje ten vazký hlen ze stěny průdušek a pomáhá Aničce ho vykašlat. Jsou dokonce i studie, které říkají, že samotná ta vibrace, ta oscilace, která se převede na ten hlen, změní jeho vlastnosti. Naředí ho, což zase usnadní to vykašlávání.

vysvětluje redakci doktor.

Potvrzuje to i maminka sedmileté Aničky, která trpí bronchiektáziemi už od tří let a bohužel dýchací vestu nemá. Aktuálně je vypsaná sbírka na tuto pomůcku pro Aničku. „Máme ji zapůjčenou a vykašlává u toho mnohem více a moc jí to jde,“ doplňuje maminka.

Dýchací vestu pojišťovna ale neproplácí

Anička má bronchiektázie neznámého původu.

U Aničky je mimořádně závažné to, že se ty bronchiektázie objevily v tak nízkém věku. U tříletého dítěte bronchiektázie nacházíme vzácně. I když to dané tříleté dítě má tu geneticky danou nemoc, cystickou fibrózu, tak ve většině případů v takto nízkém věku ty bronchiektázie nejsou přítomny. Anička v podstatě podstoupila všechna ta standardní vyšetření, která se dělají u dětí s bronchiektáziemi s negativním výsledkem. Takže my přesnou diagnózu u Aničky nemáme.

poznamenal doktor.

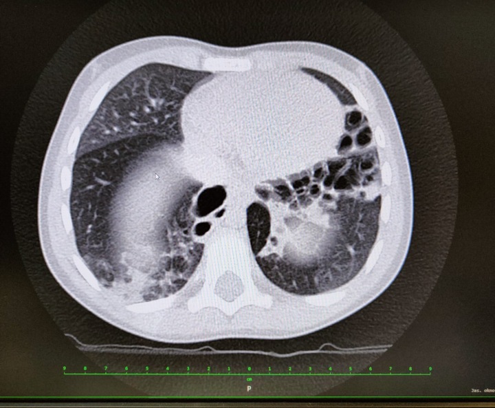
Otevřít v galerii (2)
Rentgen Aniččiných plic.
Rentgen Aniččiných plic. Zdroj: archiv rodiny Aničky, se svolením

Jelikož je diagnóza neznámá, tak pojišťovna tuto pomůcku neproplácí, jak objasňuje tatínek Aničky: „Co se týče těchto lepších pomůcek, tak na to pojišťovna nepřispívá také proto, že Anička nemá danou jasnou diagnózu.

Sbírka na dýchací vestu pro Aničku

Řada rodičů, v té snaze pro to své dítě zajistit maximum a nějakým způsobem stabilizovat to onemocnění, si to snaží hradit ze svého nebo nějakým způsobem sehnat na to finance. Takže my jistě vítáme jakoukoliv podporu pro tyto pacienty, kteří mají nevyléčitelné závažné onemocnění a vyžaduje každodenní péči,

říká MUDr. Václav Koucký, Ph.D.

Nadační fond Naše plíce tedy vypsal sbírku za podpory realitní kanceláře Y&T Luxury Property, která se zavázala přispět polovinou částky a veškeré provozní náklady fondu plně hradí. Vybírá se suma 248 917 Kč, která pokryje zbytek nákladu na nákup dýchací vesty pro Aničku. Nadace taktéž Ježíšky ubezpečuje, že díky štědré podpoře realitní kanceláře mohou všechny příspěvky směřovat přímo Aničce a tím jí budete moci splnit vánoční přání – lépe dýchat.

Odkaz na sbírku

Zdroj: autorský text, vlastní dotazování, hillrom.com, Naše plíce, sciencedirect.com

Prodej bytové jednotky 3+kk, Praha 2 Vinohrady
Prodej bytové jednotky 3+kk, Praha 2 Vinohrady, Praha 2
Prodej secesní vily 530m², pozemek 946m²
Prodej secesní vily 530m², pozemek 946m², Praha 4
Líbil se vám článek?
Diskuze 0 Vstoupit do diskuze